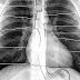
Chest radiograph By yourinfo - Desember 31, 2017 - src: lifeinthefastlane.com A chest radiograph , colloquially called a chest X-ray ( CXR ), or chest film , is a projection radiograph of th...
Radiographer By yourinfo - Desember 31, 2017 - src: www.healthiernorthwestlondon.nhs.uk Radiographers , also known as radiologic technologists , diagnostic radiographers and medical radi...
Radiographer By yourinfo - Desember 31, 2017 - src: www.healthiernorthwestlondon.nhs.uk Radiographers , also known as radiologic technologists , diagnostic radiographers and medical radi...
Radiology By yourinfo - Desember 31, 2017 - src: upload.wikimedia.org Radiology is the science that uses medical imaging to diagnose and sometimes also treat diseases within the body....